الصفحة الرئيسية
تسجيل في الصفحة الإلكترونية
تواصلوا معنا
تسجلي
وصفات طبخ
فيديوهات
رجيم و دايت
فوائد
مناسبات
رمضان
معلومات عامة
تسجلي
غير واثقة مما ستطبخين؟
لقد جمعنا لك أكثر الوصفات الشعبية لدينا، وأحدث الإضافات وبعض مختارات المحررين، فنحن متأكدون أنك سوف تجدين ما سينال إعجابك!
إختيار المحررين
جميع الأطباق
مطابخ
المطبخ الخليجي
المطبخ المغربي
المطبخ اللبناني
المطبخ المصري
المطبخ الصيني
المطبخ الإيطالي
المطبخ الهندي
مكونات
سمك
لحم
دجاج
خضار
فواكه
حبوب وبقول
تمر
بالشوكولاته
من اختيارنا
حلى الكاسات
بسبوسة
الكنافة
عجينة البيتزا
باستا
الكريب
تشيز كيك سهل
كبسة لحم
طريقة
سهلة وسريعة
صحية
بالفرن
مشاوي
نباتية
مقالي
خالية من الدسم
بالمايكرويف
الرئيسية
وصفات طبخ
وصفات طبخ
أطباق رئيسيّة
سلطات
شوربات
أطباق جانبيّة
معجّنات
وجبات أطفال
مقبلات
سندويشات
حلويات
جميع الأطباق
فيديوهات
رجيم و دايت
فوائد
مناسبات
رمضان
معلومات عامة
الصفحة الرئيسية
الأخبار
معلومات عامة
8892
معلومة
اجعلي التبرع بالدم عادة لهذه الأسباب!
كثيراً ما نسمع عن دعوات التبرع بالدم، وبالرغم من أن الكثيرين يخشون التبرع بدمائهم بسبب معتقدات كثيرة خاطئة
أسرع طريقة لأكل الذرة بسهولة
أسرع طريقة لأكل الذرة بسهولة بالفيديو
كيف تصنعين مجرود المكنسة بطريقة يدوية
كيف تصنعين مجرود المكنسة بطريقة يدوية بالفيديو
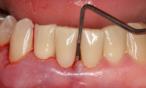
تعانين من نزيف اللثة؟ لا بد أن هناك مسبب لذلك!
اللثة هي تلك الأنسجة الليفية المغطاة بغشاء مخاطي قوي
تعانين من مشاكل الاسنان؟ربما الليزر هو الحل!
اصبح الليزر أحد أعمدة التطور العلاجي في شتى المجالات، ولعل من تلك المجالات المستفيدة من ثورة علاجات الليزر هي مجال طب الاسنان.
تتناولين المسكنات؟ احذري فقد يكون لديك القابلية على ادمانها!!
ادمان المسكنات امر ليس بالبعيد عن من يتناولها، فهو يبدأ على مراحل وليس دفعة واحدة لتتفاجئي أنك وقعت فريسة الإدمان على المسكنات.
إن كنت تتناولين المسكنات فانتبهي لصحة كبدك!!
كشفت أبحاث علمية مؤخراً نشرت أن تعاطي النساء للمسكنات بشكل مبالغ فيه وعشوائي، يجعلهم أكثر عرضة للإصابة بإلتهابات أسفل المريء وجدار المعدة
الماء مهم ولكن ما هي اضرار الإكثار منه؟
لعدم تناول الماء اخطار عديدة لا تصيب جهاز واحد بل تصيب كافة أجهزة الجسم، فيجب على الانسان الطبيعي الحرص على شرب 8 اكواب من الماء يومياً
الآن يمكنك معرفة الأطعمة الفاسدة حتى إن كانت معلبة!!
الأطعمة الفاسدة خطر يهدد حياة العديد من الأشخاص، ولكن يمكنك وقاية نفسك من هذا الخطر من التحقق من صلاحية الاطعمة من عدمها
أهم المعلومات التي يجب أن تعرفيها عن الدورة الشهرية!!
الكثير منا لا يعلم كيف تعمل أعضاؤنا التناسلية، ولا نعرف الأيام التي تسمح بحدوث الحمل، ولذلك سنخبرك عن آلية عمل الدورة الشهرية:
طريقة عمل الزبدة من الكريمة المخفوقة
كيف تصنعين الزبدة من الكريمة المخفوقة بالفيديو
هكذا تقسمين الآيس كريم بسهولة
هكذا تقسمين الآيس كريم بسهولة بالفيديو
هل ينتقل تسوس الأسنان من الأباء للأبناء وراثياً؟
من المعروف أن التسوس من أهم المشاكل المتصلة بالأسنان شيوعاً، إذ يحتل تسوس الأسنان المرتبة الثانية بعد نزلات البرد الشائعة من حيث الانتشار
هل توجد علاقة بين حساسية العيون الموسيمية والرمد؟
الرمد الموسمي، هو حساسية شديدة تصيب الأعين في فصل الربيع، وتختلف عن الحساسية العادية بأنها أقوى.
هل تؤثر المسكنات على ارتفاع ضغطك؟
أكدت أبحاث علمية مؤخراً أن تناول النساء جرعات يومية من المسكنات والمهدئات يجعلهم عرضة لإرتفاع ضغط الدم ومشاكل القلب.
هل تتذكرين آخر مرة ذهبتِ فيها لطبيب الأسنان؟
يجب الاهتمام بالاسنان والعناية بها بشكل خاص والتأكد من صحتها وسلامتها،
ما السبب في زيادة وزن المتزوجات؟
ان كنت من مهوسي الرشاقة فلا تقلقي فأنت لست الوحيدة، فهذا بمثابة حلم جميل تسعى جميع النساء الى تحقيقه او المحافظة عليه
لا تنسي شرب الماء!
يحتاج الجسم الى شرب الماء لكي لا يتعرض للجفاف الذي قد يسبب الكثير من الاضرار للأجهزة الحيوية بالجسم
كيف يمكنك التأكد أن كنتِ تعانين من حساسية الطعام؟
الحساسية من الطعام أمر منتشر جداً، ومن اكثر أنواع الحساسية التي تحدث بسبب الطعام يمكن الكشف عنها عبر الفحوصات الطبية
ستتفاجئين من تأثير المسكنات على جلدك!
للمسكنات تأثيراً سلبياً على الجلد، فقد أوضحت أبحاث حديثة ان تناول الكثير من جرعات المسكنات قد يسبب نوعاً من الحساسية
دقيقتين لجعل عبوة المشروبات باردة
دقيقتين لجعل عبوة المشروبات باردة بالفيديو
شجرة عيد الميلاد... على الكب كيك بسهولة
شجرة عيد الميلاد... على الكب كيك بسهولة بالفيديو
حيلة ذكية تمنع المشروبات الغازية من الفوران
حيلة ذكية تمنع المشروبات الغازية من الفوران بالفيديو
359
387
شاركونا بتعليقاتكم
سجل في نشرة بريد
JUST.FOOD
الإلكترونية
*
*
*
غير صالح
نعم, أرسل لي رسائل مجانية. المليئة بالمقالات المفيدة, والنصائح, و روابط الفيديو و العروض الخاصّة.
سجلوا الاَن
نصائح لعمل عجينة تارت ناجحة
justfood, June 2014
نصائح لعمل أرز مثالي
justfood, June 2014
نصائح لعمل كيكة ناجحة
justfood, June 2014
Justfoodtv
x
JustFood تسجلي بنشرة
*
*
*
بريد إلكتروني خاطئ
إختاري البلد
الإمارات العربية
المملكة العربية السعودية
مصر
الأردن
البحرين
الجزائر
السودان
الكويت
تونس
سوريا
فلسطين
قطر
لبنان
ليبيا
موريتانيا
العراق
عُمان
المغرب
اليمن
أثيوبيا
أذربيجان
أرمينيا
أروبه
إريتريا
إسبانيا
أستراليا
أفغانستان
إكوادور
ألبانيا
إلسلفادور
ألمانيا
أنتاركتيكا
أنتيغوا وبربودا
أندورا
أندونيسيا
أنغولا
أنغويلا
أورغواي
أوزباكستان
أوغندا
أوكرانيا
إيران
إيرلندا
آيسلندا
إيطاليا
استونيا
الأرجنتين
الباهاماس
البرازيل
البرتغال
البوسنة و الهرسك
الجبل الأسو
الجزر العذراء الأمريكي
الجزر العذراء البريطانية
الجمهورية التشيكية
الجمهورية الدومينيكية
الدانمارك
الرأس الأخضر
السنغال
السويد
الصحراء الغربية
الصومال
الغابون
الفاتيكان
الفليبين
المالديف
المجر
المكسيك
المملكة المتحدة
المناطق
النرويج
النمسا
النيجر
الهند
الولايات المتحدة
اليابان
اليونان
بابوا غينيا الجديدة
باراغواي
باكستان
بالاو
بربادوس
بروني
بلجيكا
بلغاريا
بنغلاديش
بنما
بنين
بوتان
بوتسوانا
بورتو ريكو
بوركينا فاسو
بوروندي
بولونيا
بوليفيا
بولينيزيا الفرنسية
بيرو
بيليز
تايلندا
تايوان
تبت
تركمانستان
تركيا
ترينيداد وتوباغو
تشاد
تنزانيا
توغو
توفالو
تونغا
تيمور الشرقية
تيمور الشرقية
جبل طارق
جرينلاند
جزر الأنتيل الهولندي
جزر القمر
جزر برمودا
جزر جوادلوب
جزر سليمان
جزر فارو
جزر كوك
جزر مارشال
جزر ماريانا الشمالية
جمايكا
جمهورية أفريقيا الوسطى
جمهورية الصين الشعبية
جمهورية الكونغو
جمهورية الكونغو الديمقراطية
جمهورية صربيا
جنوب أفريقيا
جوام
جيبوتي
جيورجيا
دومينيكا
رواندا
روسيا
روسيا البيضاء
رومانيا
ريونيون
زامبيا
زمبابوي
ساحل العاج
ساموا-الأمريكي
سان مارينو
سانت فنسنت وجزر غرينادين
سانت كيتس ونيفس
سانت لوسيا
ساو تومي وبرينسيبي
سريلانكا
سلوفاكيا
سلوفينيا
سنغافورة
سوازيلند
سورينام
سويسرا
سيراليون
سيشيل
شيلي
طاجيكستان
غامبيا
غانا
غرينادا
غواتيمال
غويانا الفرنسية
غيانا
غينيا
غينيا الاستوائي
غينيا-بيساو
فانواتو
فرنسا
فنزويلا
فنلندا
فيتنام
فيجي
قبرص
قيرغيزستان
كازاخستان
كاليدونيا الجديدة
كاميرون
كرواتيا
كمبوديا
كندا
كوبا
كوريا الجنوبية
كوريا الشمالية
كوستاريكا
كولومبيا
كيريباتي
كينيا
لاتفيا
لاوس
لتوانيا
لوكسمبورغ
ليبيريا
ليختنشتين
ليسوتو
مارتينيك
ماكاو
مالاوي
مالطا
مالي
ماليزيا
مايكرونيزيا
مدغشقر
مقدونيا
منغوليا
موريشيوس
موزمبيق
مولدافيا
موناكو
مونتسيرات
ميانمار
ناميبيا
نورو
ني
نيبال
نيجيريا
نيكاراجوا
نيوزيلندا
هايتي
هندوراس
هولندا
هونغ كونغ
والس وفوتونا
*
هل أنت مهتمة بفئة معينة؟
كل الفئات
وصفات طبخ
رجيم و دايت
فوائد
مناسبات
معلومات عامة